Записатися на прийом Ліцензія МОЗ України АЕ №283009, АЕ №283009



Ми пропонуємо весь спектр стоматологічних послуг, у нас у пріоритеті компексний підхід до вирішення будь-яких завдань.

«Навіщо ми займаємось стоматологією? . Відповідь проста: Ми дійсно любимо те, що робимо. Ми любимо свою роботу, ми любимо своїх пацієнтів і нам подобається відчувати, що ми змінюємо життя людей»

Чому Ми?keyboard_arrow_right Наші послуги та ціниkeyboard_arrow_right Записатись → Дізнайтесь план лікуванняkeyboard_arrow_right

images

м.Дніпро, Донецьке шосе 124

+38(068)099-51-71

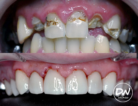
Лікуємо комплексні та складні стоматологічні захворювання

Маємо резервне живлення

15 Років практики (Центр заснований у 2010 році)

Визначення ціни на початок процедури

Безпека і гарантії лікування

Записатись на консультацію

Залиште свої контакти, ми зв'яжемося з вами найближчим часом.
images

Чому обирають Нас?

15+ років досвіду Стерильність класу В Цифрові техгології
  • Лікування під мікроскопом — точність до мікронів
  • Вирівнювання зубів без брекетів
  • Ультратонкі керамічні вініри
  • Цифрове сканування зубів сканером Medit
  • Навігаційна хірургія: імлантація зубів по індивідуальному 3D-шаблону
  • Відновлення всього зубного ряду за один день (All-on-4, All-on-6)
  • Одноразові матеріали, контроль інфекцій без компромісів
  • Постійне навчання команди — сучасні протоколи
Записатись → Дізнайтесь план лікування
⭐⭐⭐⭐⭐ 5 500+ пацієнтів довірили нам усмішку
98%рекомендацій

Повертаємо людям можливість посміхатися та насолоджуватися життям!

Ми просто якісно робимо свою роботу!

Наша Команда supervisor_account Послуги та ціни content_paste

Наші Роботи

7450
Щасливих пацієнтів
queue
19000
Збережено зубів
today
15
Років практики (Центр заснований у 2010 році)

Уникальна пропозиція

Стоматологічний центр "Дентал Вайт" пропонує Вам скористатися уникальною пропозицією!
images
Дисконтна програма
  • Накопичувальна карта дає можливість отримати знижку:
    • 5%
    • 10%
    до 10%
images
Імплантація зубів
  • Унікальна ціна на встановлення і протезування імпланта NeoBiotech IS-3 Active, виробництво Південна Корея
  • Застосування індівідуального 3D шаблона для встановлення імпланту!
  • Встановлення формувача ясен
  • Встановлення абатмента
  • Фіксація цирконевої коронки
27000 грн.
images
Часткова оплата за елайнери
  • Унікальна пропозиція тільки на лікування елайнерами
  • Отримайте консультацію та пройдіть діагностику для лікування
  • Сплачуйте лише 50% від загальної вартості
  • Wow, Ви розпочали шлях до омріяної усмішки!
  • Сплачуйте іншу частину щомісячними платежами до кінця лікування!


  • (Більш детальну інформацію уточнюйте у адміністратора)

Наші Відгуки

customer1

Фил Песочный

Прийшов сюди за рекомендацією від друга (спасибі Макс). Був у різних стоматологіях, але це топ! Якість роботи, сервіс, обладнання – все на рівні. Вперше потрапив сюди із запаленням кореневих каналів після одного умільця, але завдяки Максиму Валерійовичу вдалося врятувати зуб. Після цього були лікування різної складності (чистка, лікування карієсу, реставрація, видалення зубів мудрості) – результатом завжди задоволені. Загалом сім'єю тепер лікуємось тут) Єдине про що шкодую, що не знайшов цієї стоматології раніше. P.S. Не затягуйте з лікуванням зубів (як я) – чим раніше вилікувати, тим буде менше наслідків для здоров'я та гаманця.

customer1

Sasha Starsheva

Я лечу зуби лише у Максима Валерійовича. Я дуже рада, що знайшла такого професійного, дбайливого, уважного стоматолога 🤩 Завжди привітний персонал. Все на найвищому рівні! Ви молодці! Завжди йду до вас з легкістю, знаю що ви про мене подбаєте 😅Успіхів вам!

customer1

Maksym

Відмінна клініка, де можна отримати не тільки якісне лікування, але й відмінні рекомендації.

customer1

Helga Sheretovich

Єдина стоматологія, куди ходжу без страху та побоювань. Дуже професійні лікарі використовують новітні технології. Найкращий показник – реакція оточуючих, які думають, що у мене відбілювання та натуральні зуби, а за фактом – результат низки стоматологічних процедур та протезування)) Рекомендую Всем!!!

customer1

Екатерина Анисимова

Чудова клініка, все докладно пояснюють. Сучасне обладнання, співробітники високої кваліфікації. Дуже тішить, що все чітко за часом. Ціни середні.

customer1

Сергей Коломейцев

Найкращі. Привітні, спеціалісти екстра класу. Якщо шукайте комусь довірити здоров'я зубів, вам сюди.

customer1

Artem Zemlianyi

Найкраща стоматологія у місті, лікую зуби, вибілюю, проводжу чистку тільки тут. Ціна відповідає якості. Окреме спасибі лікареві Руслану Валерійовичу - молодий, досвідчений фахівець, до якого на прийом ідеш із задоволенням. Сміливо рекомендую цю клініку! Дякую за вашу роботу

customer1

Малиця Екатерина

Відмінна клініка та чудовий персонал! Мій брат і його сім'я вже кілька років є пацієнтами "Дентал Вайт" і дуже задоволені якістю послуг. Після візиту до доктора Руслана Валерійовича я забула, що таке страх перед стоматологом :)) дуже уважний, акуратний та відповідальний у своїй справі.

customer1

Ольга Загільська

Дуже подобається ця стоматологія. Моя сім'я і я ходимо сюди вже 7 років, бо Руслан та Максим – професіонали своєї справи. Лікарі завжди стежать за передовими технологіями і мають дуже багато передового обладнання, яке є у небагатьох у місті. А ще дуже подобається підхід - якщо є можливість зберегти зуби і вилікувати його, то ми це робитимемо, а не рвати його і по новій нарощувати. Рекомендую.

customer1

Анастасия Торба

Усім задоволена. Нещодавно робила хірургію та ставила коронку. Ціни середні, їх озвучує до процедури і чітко за часом.

customer1

Katty Kationok

Цю клініку мені порадили знайомі, які залишилися дуже задоволені лікуванням та результатом. Мої очікування також відповідають реальності. Якісне лікування( у мене була імплантація, видалення зубів мудрості, пломбування каналів, чищення) за прийнятні в місті ціни та чуйні співробітники. Також пролікували усі зуби доньці підлітку. Дякую лікарю Максиму Валерійовичу.

customer1

Олена Мазяєва

Я є пацієнтом клініки вже 5 років, порадили друзі. Жодного разу не пошкодувала, лікарі-професіонали своєї справи постійно вдосконалюються і розвиваються, як і сама клініка. Широкий спектр послуг, доступні (можливо, вище за середнє, але після першого відвідування розумієш чому) ціни, делікатне та етичне поводження з пацієнтами. Все промовляється, пояснюється "зрозумілою" мовою і найголовніше - не нав'язується. Попередній досвід стоматології був вкрай неприємним, кожен похід був величезним стресом, не могла і подумати, що в кріслі стоматолога можна заснути 😊

call

Зателефонуйте нам! +38 068 099 51 71

Потрібна професійна стоматологічна допомога? Наші лікарі зможуть відповісти на всі ваші запитання.

Наша Команда

image

Кусік Руслан Валерійович

Лікар-стоматолог

image

Чекесова Анна Олександрівна

Лікар-стоматолог

image

Кусік Максим Валерійович

Лікар-стоматолог

image

Кисла Альона Геннадіївна

Адміністратор

image

Батухтіна Христина Сергіївна

Гігієніст

image

Юренко Вікторія Сергіївна

Адміністратор

image

Водолазьска Ірина Юріївна

Медична сестра

image

Білецька Ірина Вікторівна

Лікар-стоматолог



Записатись на прийом

Залиште свої контакти, ми зв'яжемося з вами найближчим часом.